ホワイトニング
「オパールエッセンスGO」を導入しました!
- ご自宅で「いつでも気軽に」
- カスタムトレイ「作製不要」
- 使い捨てで「お手入れ不要」
オパールエッセンスGO

「オパールエッセンスGO」は、カスタムトレイの作製が不要なホームホワイトニングシステムです。
従来のホームホワイトニングは、患者さんの歯型に合わせたトレイを医院で作成していましたが、口腔内の体温によって歯列に合わせ形が変形する「ウルトラフィットトレイ」を利用することで、クリニックで歯型の型どりをする必要がなくなりました。
ウルトラフィットトレーには予めホワイトニング剤がセットされているので、ジェルをトレーに塗布する手間もかかりません。
また、このトレーは使い捨てのため、使用後のお手入れは不要。場所を選ばず、好きな時にホワイトニングを行うことができます。
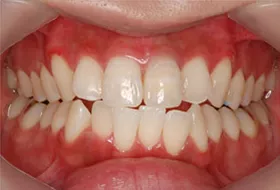
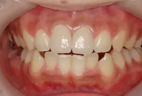
ホワイトニングの症例

Before
After

Before
After
※効果には個人差があります。
| 治療期間・回数 | 4週間(2024/06/03〜2024/06/24) |
|---|---|
| 費用 | オパールエッセンスGO: 22,000円(税込) アンジェラスホワイトニングセット:38,500円(税込) |
| リスクや副作用 | しみる症状が出る可能性がある 詰め物や被せ物の色は変化しない |
オパールエッセンスGOの
利用方法
よくある質問
Q.ホワイトニングの種類は何がありますか?
A.ホワイトニングに関しては、大きく分けて3つの方法がございます。
- 自宅で行うマウスピースタイプのホームホワイトニング
- 歯科医院で行われるオフィスホワイトニング
- 神経が死んでいる歯に行うウォーキングブリーチです。
ホワイトニングはすべての方・すべての歯に適しているわけではないので、実際に口腔内の状態を診させていただいた後の判断になりますので、ご理解ください。