歯周病によるリスク

歯周病の恐ろしいポイントの一つに、初期の頃は自覚症状がほとんどないという点があります。そして気づいた時には症状が進行し、口腔内の健康に悪影響を与えております。
また歯周病菌が血液を通じて全身に行き渡り、健康寿命を縮めてしまう可能性もあります。
日本人の成人のほとんどの方が罹患していると言われる歯周病。ここでは歯周病が進行した際のリスクについて紹介します。
口臭
日本口腔外科学会によると、病的口臭の90%以上はお口の中に原因があると言われています。そして歯周病が進行すると歯ぐきの腫れや出血、そして口臭といった症状が出ます。
当院では歯周病検査の一環で、口臭測定器による検査を行っております。
歯を失う
歯を失う原因の第一位はむし歯ではなく歯周病です。
歯周病が進行すると歯周組織(歯を支える顎の骨など)を破壊し、歯がぐらぐら動くようになります。さらに進行すると最終的には歯が抜け落ちてしまいます。
※80歳で20本歯がある人は健康で長生きと言われています。また歯の本数が多い方、あるいは歯周組織の状態が良好な方ほど明らかに医科の医療費が低下するという実態が報告されています。
糖尿病
糖尿病と歯周病には深い相関関係があります。
まず歯周病が進行すると、糖尿病の悪化リスク(血糖値の上昇)が高まります。さらに糖尿病の方は一般の方に比べて、歯周病にかかるリスクが2倍〜3倍高くなります。そして血糖コントロールが悪いことで重症化しやすくなってしまいます。
若林歯科は糖尿病専門医のクリニックと連携しています。医科・歯科連携することでより効果的な治療が実現できます。
心臓病
歯周病の細菌が血管を通って心臓に達することがあります。
それによって心筋梗塞や狭心症といった心臓疾患のリスクが増加します。
誤嚥性肺炎
誤嚥とは、誤って気管に食べ物や食べかす等が入ってしまうことです。誤嚥した食べ物に歯周病菌が付着していた場合、これが原因で誤嚥性肺炎のリスクが高まってしまいます。
早産
重度歯周病の場合、早産を引き起こすのは7.5倍のリスクがあります(喫煙と同じレベルです。)
むし歯、歯周病の「繰り返し治療」はもうやめませんか?

むし歯治療、歯周病治療を行い、数年後に、再治療される方は多いかと思います。
これはなぜでしょうか?
結論から申し上げますと、これまでの治療は「非科学的」で「場当たり的」なものだったからです。
むし歯や歯周病は「菌」がそもそもの原因となりますので、その「菌」にアプローチしなければ根本的な改善はせず、かつ、数年後に再治療になる可能性が高まってしまいます。
一般的に行われているむし歯・歯周病治療はこの「菌」に焦点を当てた治療はしていません。むし歯であれば、むし歯になった部分を削って詰める治療。
歯周病であれば、歯垢や歯石を物理的に除去する治療。
もちろん、表面的な「菌」は物理的に除去できますが、目に見えない「菌」をしっかり取り除くことはできません。そのため、取り残した菌が時間の経過と共に増殖しますので、再度悪くなってしまう環境を残したまま治療を終えてしまっているのです。
また、「むし歯があれば削る」「穴が開いてしまったから詰める」という治療を皆さんもされてきたと思います。これは非常におかしく、危険であるという事ことは分かるでしょうか?
例えば、あなたが急激な腹痛に襲われ病院に行ったとします。医師からはすぐに「手術します」と言われたらどう思いますか?

何かが抜けていますよね。
そうです、まずは治療に入る前の「検査」と「診断」です。
検査・診断結果から原因を探り、どのように対応すべきかが初めて明確になります。
場合によっては手術になることもあるかもしれませんが、薬で対応できたり、精神的な問題の解決で済むかもしれません。
しかし、こと「歯科治療」になると、この「検査」「診断」がなぜか抜けてしまい、その抜けていることに対し、歯科医師側も患者さん側もあまり違和感を感じていないのです。
歯科治療であれば、すぐに削ったり抜いたりするのではなく、まずは「なぜむし歯になってしまったのか?そして今後むし歯にならないためにはどのような処置をすべきなのか?」を考えなければなりません。このステップが抜けてしまうと、再治療になってしまう可能性が高まるばかりか、最終的には高齢になった時、治療の繰り返しが原因でご自身の歯がほとんど残っていないという状態になってしまうのです。

このように、一般的に行われている治療は、「非科学的」であり「場当たり的」な治療です。
これは「本当の医療」とは言えません。
本当の医療とは、科学的根拠に基き、再発を防げるように根本から改善する原因療法でなければなりません。それを達成させるのが当院で行っている重度歯周病改善プログラムなのです。
次節からはこの「重度歯周病改善プログラム」を具体的にご紹介させて頂きます。
重度歯周病改善
プログラムとは?

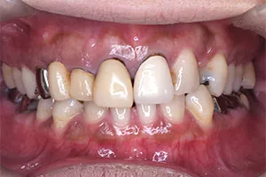
Before
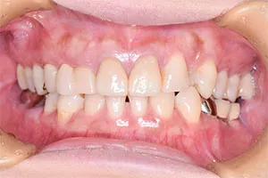
After
| 治療期間・回数 | 2ヶ月(2023/07/23〜2023/09/08) |
|---|---|
| 費用 | 154,000円(税込) |
| リスクや副作用 | アジスロマイシン服用による腹痛下痢 |
重度歯周病改善プログラムは、「お口全体の健康」を創造し、かつ「全身の健康」までを「長期にわたって」維持させるプログラムです。外科処置は行わずに治療する「歯周内科治療」とも呼びます。
※若林歯科は国際歯周内科研究会の認定医院です。
このプログラムは歯周病治療を通して、歯周病が原因となっている「心筋梗塞、動脈硬化、糖尿病、癌」といった全身疾患を防ぐプログラムになります。
ここでは、一般的な治療と比べどの部分が異なるのかに焦点を当てて説明します。
悪くなってしまった原因を
DNAレベルまで
「検査」し「診断」します

重度歯周病改善プログラムでは緊急性を要する場合以外には一般的な治療のようにすぐに治療には入りません。まずは悪くなってしまった原因を検査し診断を行った上で治療を進めていきます。
この検査には「DNA検査」「唾液検査」「細菌検査」「口臭検査」「血糖値検査」「歯茎の検査」などがあります。
DNA検査

DNAの定量検査方法で、感染している
この検査を実施することにより今までは歯周病菌とまとめて扱われてきたものを、各個人の歯周病の原因となっている菌の種類を特定し、確定診断はもとより、感染している歯周病原因菌の治療にもっとも効果のある薬の選択に役立てます。
唾液検査

唾液の検査を行なうことで、口腔内細菌の検出だけでなく、患者さん固有の情報が得られることにより、むし歯リスクの程度を知ることができます。その結果からあなたオリジナルの予防プログラムの作成、予防処置効果の検証など、あなたの歯を守るための一歩進んだ歯科治療が可能となります。
当医院では「デントカルト」と呼ばれるWHO(世界保健機構)の疫学検査にも使われている信頼度の高い唾液検査を利用しています。
細菌検査

特殊な顕微鏡(位相差顕微鏡)を活用してお口の細菌を観察し、菌の活動性、種類等を確認します。場合によっては患者さんにもご確認いただくことがあります。治療前・治療後に観察し変化を確認していきます。

治療前
治療後
保険適用。薬品を使用して、歯周病菌を殺菌した症例。リスクは、特にない。
口臭検査

「硫化水素・メチルメルカプタン・ジメチルサルファイド」は「3大ガス」と言われ、悪臭のおよそ8割をこの3種類のガスで占めています。口臭測定器(オーラルクロマ)では、3種類のガスを「ppb」という、ごく少量の単位まで正確に分離検出します。ジメチルサルファイド以外は「お口の細菌」に起因するガスですので、この検査によりどの部分を重点的に処置すべきかの診断が可能になります。
悪さをする原因菌へのアプローチ
~根本的に改善する
「原因療法」

検査・診断を行う事で、具体的に何をすべきかが判明します。当院では、一般的に行われている歯垢・歯石除去の他、検出された菌に効果的な手法で「菌のコントロール」を行っていきます。
冒頭にもお伝えしましたが、むし歯・歯周病は「細菌」が原因ですので、この細菌にアプローチしなければすべて対症療法であり、根本的な改善はしません。当院で行っている手法をご紹介いたします。
口腔機能水・抗菌剤の活用
病院に行った時に多くの薬をもらいそれをすべて飲んでしまうと、悪玉菌(体に悪い影響を与える細菌)だけでなく、善玉菌(体に良い影響を与える細菌)までもすべて殺菌してしまう事があります。そうなるとその後に入ってきた菌が爆発的に増えてしまうことがあります。
これではいけません。
当院では、検査・診断で判明した悪玉菌に対してだけ効果があるものを処方し、「身体に害を与えず、善玉菌は生かしたまま、悪玉菌のみを退治できる」やり方をとっています。
具体的には「口腔機能水」「抗菌剤」を利用します。
口腔機能水は、飲用水を電気分解したもので強い殺菌力を持っています。
歯周内科治療の流れ
従来であれば、週1回の来院で6か月~1年以上かかっていた治療が、従来以上の効果を得ながら4回~最高9回まで、約1カ月~2カ月で終了します。そして、一度受けて頂いた後、術後のメンテナンスを継続的に受けて頂くことで再発を防ぐプログラムになっています。
歯周病が進行している場合一般的には外科的治療(フラップ)を行いますが、このプログラムでは外科処置をしないため、患者さんの身体的負担を軽減することも特徴的です。
※喫煙されている方は受けて頂くことは出来ません。
施術は「認定歯科衛生士」が担当します。また当院の理事長は、国際歯周内科研究会の副代表理事、指導医です。
検査① 30分

DNA検査、歯ぐきの検査、位相差顕微鏡による検査を行います。(必要があれば口臭検査、唾液検査、血糖値検査)
初回 30分

DNA検査結果、お薬の説明をします。歯ブラシの当て方をお伝えします。また歯茎より上の歯石取り
2回目 60分

位相差顕微鏡確認、口腔機能水を用いて歯茎より下の歯石を徹底的に行います。PMTC、舌クリ―ニング
3回目 60分

口腔機能水を用いて歯茎より下の歯石を徹底的に行います。ホームケアの方法お伝え。DNA検査
最終評価 検査② 30分

DNA検査報告、位相差顕微鏡による確認、歯ぐきの検査を実施します。
メンテナンス

よい状態をキープするため、3~4ヶ月に1回メンテナンスを回を受けていただきます。
より重度歯周病の方には3DSを併用する場合もあります
3DSとは「dental drug delivery system」の略で、抗菌剤によりむし歯菌や歯周病菌を除菌し、むし歯や歯周病の予防を行う方法です。専用のマウスピース(ドラッグリテーナー)に薬剤を注入し装着することで除菌するだけですので、患者さんへの負担もかかりません。

プロデンティスも扱っています。
プロデンティスは人体に良い影響を与える微生物などを活用して体質を改善していくことを目的とした処置です。最近の研究では、歯周病治療にも有効で有ることが分かってきました。口腔内には何兆個もの細菌が住みついていて、絶えず善玉菌と悪玉菌が勢力争いをしています。この勢力バランスが崩れ、悪玉菌が多くなると、歯周病原因菌を作ってしまいます。
当院では、ロバイオティクスの概念に基づいたお薬(Bio Gaia社製)である「プロデンティスを使用し、歯周病治療・予防に役立てています。
治療費
重度歯周病改善プログラムは、
| 検査費用 | ¥33,000 (税込) |
|---|---|
| 治療施術料 | ¥120,000 (税込) |
認定歯科衛生士からの
メッセージ
治療を終え、お口の中が健康になり、「治療」ではなく、お口の健康維持のための「メンテナンス」に通って頂く。そして、世間話をしながら笑顔で帰って頂く
これが私たちの目指す歯科医院です。
そのためには、治療と共に、お口が悪くなった原因を取り除き、その原因の再発を防ぐようにしなければなりません。再発を防ぐためには「健康な状態を維持し続ける」という歯科医院側の想いのこもったサポート、そして何よりも患者さんご自身がお口の健康に関して意識して頂くことが重要です。
これまで長年、歯科医療に携わってきましたが、お口の健康を長く維持されている患者さんというのは、歯に対する意識、つまり、歯は生活をする上で非常に重要であると強く認識している方です。歯に対する意識が高ければ、自ずとご自宅でのケアをしっかり行っています。そして皆さん、「歯科医院は健康なお口の状態をチェックする場所。普段のブラッシングでは落とせない汚れを定期的に落としに行く場所」と考えていらっしゃいます。
歯科医院とは、「歯を治す」ところですが、一旦治療が終了したら、「歯を守る場所」になるという考え方が大切です。そのように理解し行動して頂けたら患者さんのお口の健康は長期にわたって安泰です。
私たちは「歯科医院は歯を守る場所」とご理解いただける患者さんと共に歩みたいと思っています。そしてそのような患者さんには「お口の健康を維持させる」「残っている健康な歯を守っていく」という強い想いで末永くお付き合いさせて頂きます。
お口の健康を通して、皆さんが毎日笑顔で生活できるお手伝いをすること。これが私達歯科医療従事者の「使命」であり「やりがい」です。
担当者インタビューを行いました。詳しくはこちらをご覧ください。
若林歯科は国際歯周内科研究会の認定医院です。
理事長は研究会の副代表理事、指導医です。
よくある質問
Q.歯周病治療はどんなものがありますか?
A.当院では、歯周病の方に関してのプログラムがあります。
本ページで解説しておりますので、「どのような治療を行うのか、治療の流れ、費用」など確認していただけます。
その他にも治療方法がありますので、一度検査をお受けいただいてから、検討していただけます。
Q.痛みがありレントゲンを撮ったら根に膿があることがわかりました。
どのようなことが原因で膿ができるのですか?治療方法はどのようなものがありますか?
A.膿ができる大きな原因として4つ考えられます。①歯周病 ②むし歯 ③噛み合わせ ④神経の治療済みで再感染です。
①が原因の場合、当院では専用のプログラムを用意しております。
②が原因の場合、むし歯をしっかりと除去し、感染している神経を取り除く治療を行います。
③が原因の場合、噛み合わせの調整を行ったり、マウスピースの使用をお勧めし、症状が改善してくるか経過をみる場合もあります。
④が原因の場合、再度、根に詰めてある感染しているものを除去し洗浄していきます。
一つのものが原因の場合もありますが、複数の原因が重なって症状が出ていることもございますので、詳細は診断の後に詳しくお話しさせていただいております。


